2020年12月8日下午,北京邮电大学祝闯老师应邀参加由电信学院联合教师发展中心举办的2020年第43场跨学科协同交叉学术报告。报告会采用腾讯会议形式,由电信学院张蕾老师主持,近三十名师生参加了本次线上学术交流讨论。
祝老师以“深度学习在医疗辅助诊断中的应用研究”为题,结合自己近年来从事的科研情况,主要从“深度学习的发展”、“病理图像分割”、“医疗影像辅助判断”和“医疗领域新进展”四个方面进行了介绍。

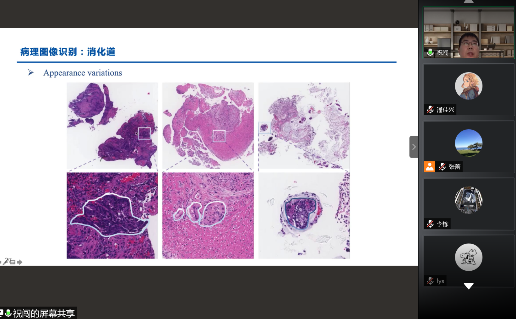
报告中结合医学影像诊断和肿瘤病理诊断等多个场景详细介绍了“智能显微镜病理辅助诊断”、“基于MRI WDI序列的缺血性病灶分割技术”等发表在世界顶级期刊和会议上的研究成果,引起在场师生浓厚的兴趣。

报告结束后,针对病理图像分割中的具体问题和深度学习技术未来发展方向等相关问题,祝老师与师生进行了充分交流,大家很受启发,开拓了研究思路,为开展相关研究奠定了基础。
报告专家简介:

祝闯,北京邮电大学教师,硕士生导师。北京大学博士/博士后,师从高文院士团队。主持博士后面上项目、国家自然基金青年项目、北京市自然基金面上项目等,获得北京大学博雅博士后荣誉资助。主要从事人工智能、多媒体信息处理方面的研究,近年聚焦于医疗图/影像的分析。曾夺得医疗影像顶会MICCAI 2019结直肠分类和分割任务冠军(DigestPath2019),指导学生获得中国计算机学会计算机视觉专委会(CCF-CV)联合举办的RACV 2016专题竞赛第一名。在图像视频领域著名期刊和会议上发表论文多篇,如IEEE Transactions on multimedia (T-MM),ECCV等,是T-MM和T-CSVT等期刊的审稿人。授权专利多项。